Orthodontics
矯正歯科
矯正歯科について

矯正は“見た目”だけじゃない。
“生きやすさ”をつくる治療です
歯は、体の健康を支える重要な器官の一つです。そのため歯並びやかみ合わせの乱れは、見た目の印象を損なうだけでなく、口腔機能の低下を招く可能性があります。矯正治療は、こうした問題を解決し、健康的で美しい口元を取り戻すための方法です。正しい位置に揃えられた歯は、食事の効率を上げ、消化器官の負担を和らげます。また、歯垢が溜まりにくくなることから、虫歯や歯周病の予防にもつながるのです。
矯正治療を
オススメする理由
-
虫歯や歯周病になりにくくなる
矯正を行うことによって、歯が磨きやすくなり磨き残しが少なくなります。きちんと食べ物の残りかすを取り除けるようになると虫歯や歯周病のリスクが軽減されます。
-
良く噛めて胃腸の働きを助ける
毎日の食事も苦労せず美味しく食べられます。きちんと噛み砕く事で胃腸の働きを助け、脳の活性化を助けます。
-
発音が、明確になります
歯の噛み合わせが悪いと、特定の部分の発声がうまく行えない事があります。例えば、出っ歯などのサ行が上手く発音出来ないなどがあげられます。
-
様々な症状を和らげます
噛み合わせを良くする事により、肩こりや顎の関節痛、音(口を開けた時)などの症状を和らげます。スポーツ選手が歯を食いしばるのと同じで、安定した力を出す場合にも噛み合わせは重要です。
-
姿勢がよくなります
悪い噛み合わせを続けていると、次第に背骨もゆがみ、全身の身体のバランスが崩れてしまいます。歯並びを良くし、正しい噛み合わせにすることによって全体的な体のゆがみを正し、姿勢をよくすることができます。
矯正をオススメする
症状について
-

八重歯:叢生(そうせい)
日本では八重歯がかわいく見られたりしますが、実はこれも噛み合わせとしては良くありません。
【身体に与える症状】
・虫歯 ・歯周病
・口臭 ・顎を左右に上手に動かせなくなる -

出っ歯:上顎前突
上の歯が下の歯より前に出ている状態の噛み合わせをいいます。
【身体に与える症状】
・虫歯 ・歯周病 ・口臭
・乾きやすい ・顔立ちに影響を与える ・前歯が折れやすい -

受け口:下顎前突
下の歯が上の歯より前に出ている状態の噛み合わせをいいます。
【身体に与える症状】
・虫歯 ・歯周病 ・顎の関節痛
・顔立ちに影響を与える
・歯ぐきのラインが下がりやすい -

開咬
奥の歯は上手く噛み合わせが行えていますが、前の歯の隙間があいてしまい、うまく噛み合わない状態をいいます。
【身体に与える症状】
・歯周病 ・発音がしにくい(サ行・タ行)
・奥歯に負担がかかり将来的にその歯を失ってしまう恐れがある -

過蓋咬合
噛み合わせが深く、下の前歯がほとんど見えない状態です。理想的なのは、下の前歯の上部1/3〜1/4が上の前歯に覆われている程度とされています。
【身体に与える症状】
噛み合わせが悪いと顎関節や歯ぐきに負担がかかり、虫歯・歯周病・口内炎の原因になります。被せ物や入れ歯も作りにくく、様々なトラブルを引き起こす可能性があります。
矯正治療の種類
全顎矯正
Ⅰ期治療
こどもの時に行う矯正治療のことで、すべての永久歯が生え変わる前に行う治療です。
顎の成長が見込めるため、出っ歯や受け口の原因を改善していきます。また、土台の狭い歯を広げたりしていきます。
-

リンガルアーチと呼ばれる装置です。傾いている歯などに力を加え、正しい向きに治していきます。
-

拡大床装置と呼ばれる装置です。患者さんによる取り外しが可能で、真ん中のネジで土台を広げ、歯並びのガタガタを改善してきます。
| 治療期間 | 3~5年 |
|---|---|
| 治療回数 | 1回/月 |
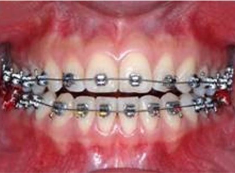
Ⅱ期治療
-

マルチブラケット装置と呼ばれます。歯並びを改善していきます。写真のような金属タイプの他に、プラスチック製もあります。
-

リテーナー
歯並びの治療が終わった後、後戻りの内容にとどめておく装置です。患者さん自身による取り外しができます。
メリット
- 幅広い年齢層に対応可能
- 治療後の安定性が高い
- 歯列全体とかみ合わせを総合的に改善
- 機能性と審美性を両立できる
デメリット
- 自費診療となり保険適用外
- 装置によっては審美面で気になる場合がある
- 治療に数年かかるケースが多い
- 調整後に違和感を覚える場合がある
| 治療期間 | 3~5年 |
|---|---|
| 治療回数 | 1回/月 |
部分矯正
気になる一部に装置をつけておこなう、部分的な矯正治療です。身体に負担が少ない、費用が安い、比較的短期間で治療が終わるなどのメリットがあります。しかし、難症例に適応することはできないなどのデメリットもあります。
メリット
- 全顎矯正より費用を抑えられる
- 短期間での改善が可能
- 目立ちにくい装置を選択しやすい
- 前歯など気になる部分のみ治療
デメリット
- 自費診療で保険は使えない
- 対応可能な歯並びに制限がある
- 治療後の安定性に課題がある
- 全体のかみ合わせは改善されない
| 治療期間 | 3~5年 |
|---|---|
| 治療回数 | 1回/月 |
矯正料金案内
| 無料相談 | 0円 |
|---|---|
| 検査料 | 11,000円 |
| 診断料 | 33,000円 |
| 矯正治療費(基本料金) | 440,000円~814,000円 |
| 一般矯正診察料 | 5,500円 |
| 装置代 | 11,000円~55,000円 |
マイオブレース矯正
永久歯に生え変わる頃の子どもにおこなう矯正治療です。マウスピースのようなものをはめて口腔筋の発達を促し、正しい顎や歯の発育、舌の筋力の発育を高めます。
メリット
- 装着しても外見に影響しない
- お子さんへの負担が少ない治療
- 痛みが少なくやさしい治療
- 顎の自然な発育を促す
デメリット
- 保険適用されない自費診療である
- 成長期(5〜10歳頃)に限定される
- お子さんの理解と協力が必要
- 決められた装着時間の厳守が重要
| 治療期間 | 3~5年 |
|---|---|
| 治療回数 | 1回/月 |
マイオブレース矯正料金
| 無料相談 | 0円 |
|---|---|
| 資料取り、診断料 | 22,000円 |
| 基本料金 | 495,000円 (追加装置 BWS・BB1・クワドヘリックス等含む) |
| 装置代(4個目~) | 11,000円 ※破損は全体を通して3回まで無償交換可能です ※サイズアップ等の装置交換は基本料金に含まれます |
| 資料取り、アクティビティ代 | 5,500円/月 |
マウスピース矯正について

マウスピース型矯正装置(インビザライン)は、従来のワイヤー矯正とは異なり、マウスピース型矯正装置だけを使用します。治療用のマウスピースは透明で目立ちにくいため、見た目を気にすることなく矯正治療を進めることができます。
さらに当院では、前歯を少しだけ矯正したい方のために、先進的なマウスピース型矯正装置(インビザラインGo)をお使いいただけるようになりました。
※完成物薬機法対象外の矯正歯科装置であり、医薬品副作用被害救済制度の対象外となる場合があります。
※自由診療です。
マウスピース矯正をする
メリットと注意点
-
治療中でも目立ちにくい

透明なマウスピースは装着していてもほとんど分からず、周囲を気にせず治療を続けられます。
-
取り外せるから、
お口の清潔が保てる
食事や歯磨きの際に装置を外せるため、口腔内を清潔に維持しやすくなります。固定式装置のような食事制限もありません。
-
気になる前歯の歯並びを改善

マウスピース型矯正装置(インビザラインGo)は前歯を中心とした治療です。段階的に理想の歯並びを実現し、自信を持った笑顔を取り戻せます。
-
矯正治療後の後戻り予防にも

以前の矯正治療で整えた歯並びが戻ってしまった場合も、マウスピース型矯正装置(インビザライン)での再治療が可能です。
-
お口の中のトラブルを
起こしにくい
複数のマウスピースで少しずつ歯を動かしていきます。そのため痛みを軽減でき、装置の脱落などのトラブルも防げます。
-
ハレの日の思い出をより美しく

大切な記念日や写真撮影時には装置を外せるため、特別な瞬間を自然な笑顔で迎えられます。
マウスピース矯正の注意点
- 重度の不正咬合など、対応できない症例があります。
- 効果を得るには1日22時間以上の装着が必須となります。
インビザラン

透明なマウスピース型の装置を使用する矯正治療法です。インビザラインは、コンピュータシミュレーションに基づいて作製された一連のマウスピースを交換していくことで、歯を徐々に動かしていきます。透明な装置であるため、審美性に優れ、装置の着脱も可能です。
メリット
- 透明なので治療中なのが気付かれにくくなる。
- 金属アレルギーの心配がない。
- 取り外しができるので、ケアがしやすくなる。
- 取り外しができるので、装着時の圧迫感や痛みは少なくなる。
- 通院回数が少なくて済む。
デメリット
- 保険適用されない自費診療である
- 海外輸入となるため、お手元に届くまでに1か月以上の時間をいただく場合がある。
- 患者さんの症例によっては使用できない場合がある。
- 1日の中で、長時間装着していただく必要がある。
インビザランGo
「奥歯のかみ合わせは問題ないが、前歯の歯並びだけが少し気になる」。インビザラインGoは、そんなお悩みに応える前歯に特化した部分矯正です。
透明で目立たないマウスピースを使い、日常生活への影響を最小限に抑えながら、約半年という短期間で軽度〜中等度の歯並びを整えます。全顎矯正までは必要ないとお考えの方のための、スマートな選択肢です。
メリット
- 透明な素材で装着が目立たない
- 着脱できるため口腔衛生を維持しやすい
- 来院頻度を少なくできる
- 短期間(約半年程度)での改善が可能
デメリット
- 保険適用されない自費診療である
- 重度の不正咬合には対応不可
- 一日の大半(20時間以上)は装着が必要
- 奥歯のかみ合わせは改善対象外
インビザラインの違い
横にスクロールできます
| インビザライン | インビザラインGo | |
|---|---|---|
| 治療期間 |
|
|
| 費用(税別) | 770,000円 | 385,000円 |
| 治療期間 | 約1年半~2年 | 約3ヶ月~半年 |
※診察・調整料 2,000円~5,000円
※保定装置 60,000円~
未承認機器・医薬品に関する注意事項について
医薬品医療機器等法上の承認:未承認
入手経路: (以下要ヒアリング):マウスピース型矯正装置(インビザライン)は、アライン・テクノロジー・ジャパンから入手しています。
同一の成分や性能を有する他の国内承認医薬品等の有無:無し
諸外国における安全性等に係る情報に関して:米国アライン・テクノロジー社のインビザラインは世界100カ国以上で、これまでに1500万人を超える症例数がある治療です。(2020年1月時点) 重大な副作用も報告されておりません。当院ではインビザラインの有効性を認め、導入をしております。
治療の流れ
-
01
歯並び確認とスキャン・型取り
初診の際に、デジタルスキャンまたは歯型を取ります。
-
02
3Dシミュレーションで治療計画をご提案
独自の治療計画ソフトウェアを使い、歯科医師が患者さんの歯科記録に基づいて作成した3Dの治療計画・治療期間をご説明します。
-
03
矯正装置のお受け取りと使い方のご説明
オーダーメイドのマウスピース型矯正装置が完成し、歯科医院に届いたら、マウスピース型矯正装置(通常2-3セット)をお渡しします。毎日装着していただき、1~2週間ごとに新しいマウスピース型矯正装置に交換します。
※夜寝る前の交換がおすすめです。 -
03
定期チェックと次の装置の受け取り
約4~6週間ごとに歯科医院にご来院いただき、治療の進み具合について確認してもらうとともに、次のマウスピース型矯正装置のセットをお受取りいただきます。
-
04
治療完了
歯並びが整ったら治療完了です。
一定期間保定装置を装着していただき、元の歯並びに後戻りするのを防ぐ必要があります。